Accessible Version
Ohio Holistic Dental Center
Dr. Linty John-Varghese

Smile Gallery

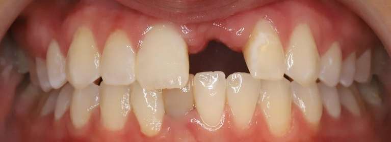
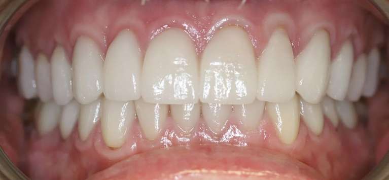
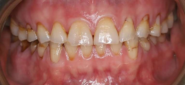
Take a few moments to browse through our gallery of before and after pictures, showcasing the incredible transformations we've achieved for our patients. As a holistic dentist in Ohio, we focus on enhancing not just the appearance of your smile, but also your overall health. Our gallery highlights the possibilities for your smile when you choose a comprehensive, health-centered approach to dental care. Explore the results and imagine what we can do for you!

We Warmly Welcome New Patients to Our Practice
I received my permanent crowns, and they are perfect.

I am a new patient, and this was by far the most professional and comprehensive dental experience I ever had in my 60 years. From the moment you walk in, Amber is there greeting you with a smile and a warm welcome. The office décor and the experience with the staff is relaxing and inviting. It doesn’t feel like a visit to the dentist. During the time with Dr. Linty the focus is on your overall wellbeing, not only dental health. Dr. Linty spends whatever time is necessary to make sure you’re educated and comfortable.

I was experiencing significant bone loss on four of my bottom front teeth, which was obvious once it was pointed out by Dr. Linty. We decided it was best to crown those four teeth for stability and long-term health. Throughout the four-hour procedure Dr. Linty and her amazing assistant Desiree were incredible, taking care of me well beyond anything I would have ever expected. I was chilled and Desiree brought me a soft blanket, Dr. Linty proactively applied Vaseline to my lips several times during the procedure to assure my lips were comfortable. Throughout the entire procedure Dr. Linty takes time to explain what she is doing, why she’s doing it and answers any questions I had. I received my permanent crowns, and they are perfect.

I want to Thank Dr. Linty for your superior care. Thanks to your entire staff for their friendly, courteous, and personal touch. If you’re looking for a dentist that truly cares about your wellbeing and one that specializes in Holistic care, then Ohio Holistic Dental Center is your place. Hands down the Best.
-Julie
 

If you have difficulty using our website, please email us or call us at (937) 428-2288
View the ADA Accessibility Statement