Accessible Version
Ohio Holistic Dental Center
Dr. Linty John-Varghese

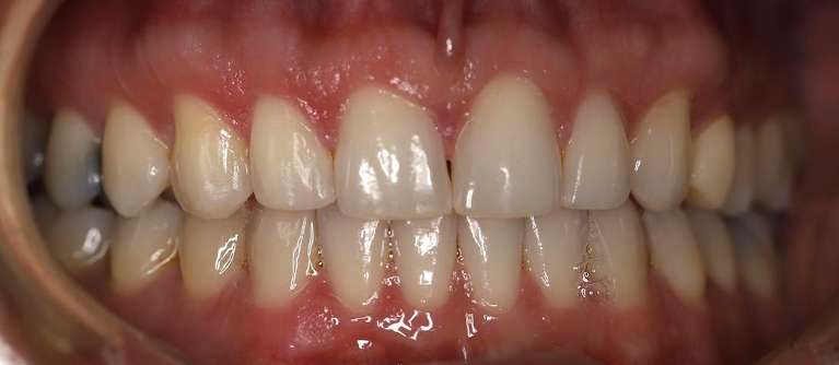
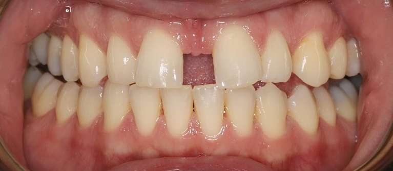
Smile Gallery: Invisalign Clear Aligners

Take a few moments to browse through our gallery of before and after pictures, showcasing the incredible transformations we've achieved for our patients. As a holistic dentist in Ohio, we focus on enhancing not just the appearance of your smile, but also your overall health. Our gallery highlights the possibilities for your smile when you choose a comprehensive, health-centered approach to dental care. Explore the results and imagine what we can do for you!

Have Questions? Get in Touch
If you have difficulty using our website, please email us or call us at (937) 428-2288
View the ADA Accessibility Statement